Creating Beautiful Smiles

Request an Appointment Click to Call

Tongue-Tie Treatment in Cary and Raleigh NC

Introduction:

If you imagined that "tongue-tie" is just another expression in the English language alluding to an inability to speak, you are mistaken. Tongue-tie is a malformation with serious repercussions if left unattended. Discover more about tongue-tie treatment in Cary and Raleigh in the following paragraphs.

Understanding Tongue-Tie:

Tongue-tie is a congenital disorder wherein a child's tongue remains attached to the lower part of the mouth. This is because the thin tissues connecting the tongue with the lower half of the mouth are shorter than normal. This congenital disorder inhibits tongue mobility and causes speech impairments and difficulties in breastfeeding.

The Reason Behind the Difficulty in Tongue Movement:

When an embryo is growing and evolving inside the womb, the tongue fuses with the bottom of the mouth. With time, the tongue separates from the bottom of the mouth. A thin cord of the tissue called the frenulum joints the tongue to the lower half of the mouth. In children who are bothered by tongue-ties, the receding of the frenulum doesn’t happen. This makes the frenulum retain its thickness. This causes difficulty in movement of the tongue and children may have problems with articulation.

Symptoms of Tongue-Tie:

Ankyloglossia or tongue-tie symptoms can be classified from mild to severe and has four different categories. These categories are primarily for descriptive purposes in order to understand where the tie is fused with the tongue. In some cases, tongue-tie is so mild that it does not cause any major problem.

You May Find the Following Tongue-Tie Symptoms in New-born:

  • Trouble latching the nipple while breastfeeding
  • Weak sucking pattern
  • Some ticking noise during breastfeeding
  • Prolonged breastfeeding
  • Always hungry
  • Not able to gain weight

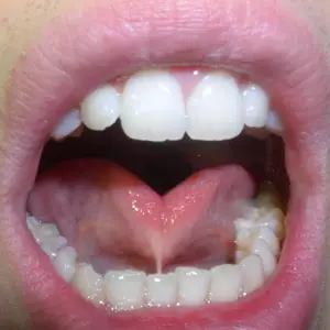
Following Tongue-Tie Symptoms Can Be Observed in the Grown-up Children:

  • Cannot withdraw the tongue out from the mouth
  • Tongue cannot go past lower front teeth
  • Tongue in the shape of a heart when stuck out
  • Difficulty in speaking
  • Difficulty in swallowing
  • Cannot lick the ice-cream
  • Cannot play any wind instrument

Tongue-Tie Treatment Process in Cary and Raleigh, NC:

Tongue-tie or Ankyloglossia in some children is not that severe and may not have noticeable symptoms. No treatment is needed where the child does not have a problem speaking, swallowing, or eating. If the problem is mild to severe, the doctor may advise a surgical procedure.

Frenectomy:

The solution to tongue-tie is a surgery called Frenectomy. Dr. Charles Ferzli at Smiles of Cary can carry out this minimally invasive surgical procedure to remove the thin band of the tissues. Tongue-tie surgery in Cary and Raleigh NC helps in the removal of the tissues that are attached to the lower part of the mouth. This is fairly an easy procedure that can be carried out with the local anesthesia.

This is carried out as a painless procedure for the new-borns. But grown-up children may require pain medication and local anesthesia. Most infants or children recover from Tongue-tie naturally. But in severe cases timely diagnosis and treatment is advisable.

Sucking exercises can help strengthen the tongue. In some cases, tongue-tie or can get fixed on its own where frenulum loosens over time. Otherwise, therapy treatment or minimal surgical invasion is required for the correction.

Post-surgery you would need a physical therapy for your mouth, called myofunctional therapy.

Myofunctional Therapy Will Help You in The Following:

  • When you start using your tongue efficiently, you can chew and swallow effectively. This way you can enjoy your food better.
  • Once your tongue is in a proper resting position, it may help in unwanted dental problems. This also adds to the better facial aesthetics.
  • Better speaking abilities once you strengthen your tongue.

Preparation for Tongue-Tie Treatment in Cary and Raleigh, NC:

Very little preparation is needed for this treatment. All you need is to keep your kid calm and composed before the Tongue-tie treatment in Cary and Raleigh takes place. This is to avoid stress. A numbing medication is applied to keep your baby comfortable. Since the laser consists of analgesic properties, no medication is needed before the procedure. Babies anyhow don’t retain such memories of the surgical process, so the possibility of trauma also reduces.

Also, you may want to prepare a list of possible questions before the surgery and get it clarified from your doctor at Raleigh NC.

Some Questions You May Want to Ask the Practitioner Before the Surgery Are:

  • Is the treatment even needed?
  • How severe can be the medical issue in your baby?
  • Should you consider surgery or are there any alternatives?
  • Is anesthesia necessary?
  • What are the risks in the surgery?
  • Will the procedure help your baby get more milk during breastfeeding?

Post-Treatment Pain Medication:

However, post the treatment, you need to ensure that pain medication is followed correctly. The pain is expected to be mild. If a doctor at Raleigh NC hasn’t advised a pain soother, you may ask for one to keep it handy. It will keep your child comfortable.

If not addressed, tongue-tie can cause malnourishment, speech impairments, and difficulties in eating certain food items. Ankyloglossia condition leads to weak-sucking patterns. You can massage your baby’s cheek from the outside while placing your index finger inside the cheek. But relying on professional advice is recommended.

Conclusion:

The Tongue-tie problem must be addressed by an appropriate tongue-tie treatment in Cary and Raleigh NC. If you spot this issue in your tiny tot, consider consulting pediatric dentist Dr. Charles Ferzli at Smiles of Cary right away. Dr. Charles Ferzli's dental services are available in Cary and Raleigh NC. For more information call us at (919) 646-6538 and schedule an appointment today for tongue-tie treatment.

Contact Us

Smiles of Cary Family Dentistry

  • 1150 NW Maynard Rd,
    STE 120, Cary
    NC 27513
  • (919) 646-6538
  • Monday: 8am – 5pm Tuesday: 9am – 6pm Wednesday: 8am – 5pm Thursday: 9am – 5pm Friday: 8am – 1pm Saturday: Closed Sunday: Closed
Book An Appointment
Smiles of Cary - 4.7 stars - based on 425 Google Reviews
E
X
C
I
T
I
N
G

O
F
F
E
R
S

Accessibility Menu